Metallirankainen osaproteesi täysin digitaalisesti
Metallirankaisella opaproteesilla pystytään korvaamaan usemman hampaan puutosta halvemmalla kun kiinteillä ratkaisuilla. Perinteisessä menetelmässä hampaistosta otetaan ensin alginaattijäljennökset yksilöllistä jäljennöslusikkaa varten ja vasta erillisellä kerralla tarkkuusjäljennös. Tarkkuusjäljennöksen heikoimpana puolena on purennan siirtäminen erillistä purentaindeksiä apunakäyttäen teknikolle. Purennan rekisteröinnissä tulee yleensä isoin virhe jota sitten joudutaan kokeilemaan/tarkentamaan uudestaan vahalla indeksivaiheessa ja tämän jälkeen hampaiden asetteluvaiheessa ennen kun lopullinen proteesi saadaan valmiiksi.
Digitaalitekniikalla pystytän ottamaan ensimmäisellä käyntikerralla erittäin tarkka jäljennös ja purenta jotta koko proteesi on mahdollista tehdä suoraan jo asetteluvaiheeseen tai jopa valmiiksi asti. Tämä vähentää potilaan ja hammaslääkärin aikaa ja käyntejä yli puoleen tavanomaiseen työskentelyyn verrattuna. Lisänä teknikon työmäärä vähenee huomattavasti kun koko runko suunnitellaan tietokoneella ja tilataan lasersintrattuna ja 3d-printattujen mallien kanssa.
Tämä tekniikan tehokkuus vähentää potilaalle tulevia lopullisia kustannuksia metallirankaisen osaproteesin teosta.
Täysin digitaalisesti suunniteltu metalliranka
Infinidentistä tilattu runko ja printatut mallit
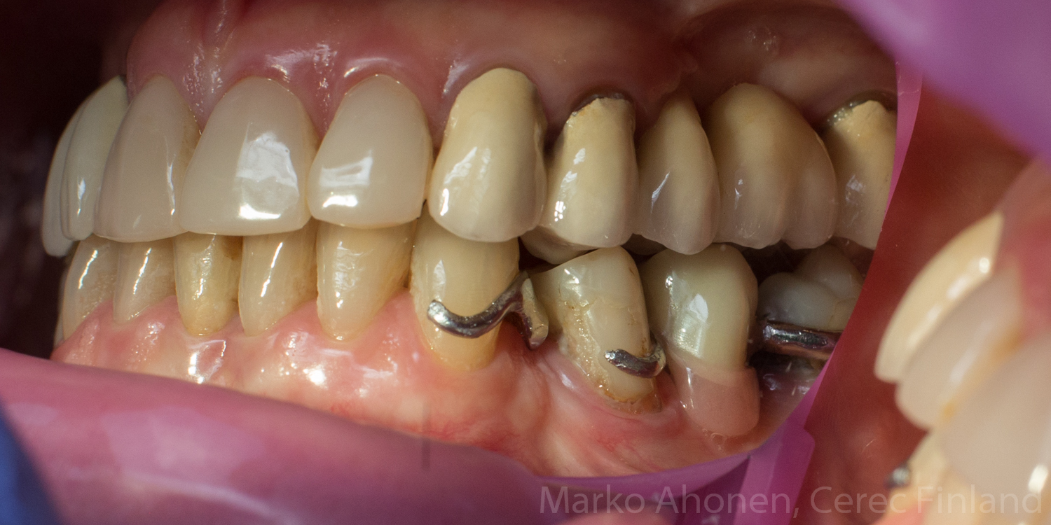
Lopullinen proteesi asetettuna suuhun (d.44 joudutaan mahdollisesti poistamaan myöhemmin ja tähän varauduttu proteesin metalliosan suunnittelulla. Kyseinen potilas välttämättä halusi metallirankaisen proteesin)









