Nopeat muodonmuutokset
Digitaalinen tekniikka ja tehokkuus mahdollistaa hyvin nopeasti tehdyt koko ilmeen ja hampaiston muodonmuutokset. Hoito on kivutonta ja osa hoidoista voidaan toteuttaa myös nukutuksessa.
Koko purennan muutokset on toteutettu seuraavissa esimerkeissä hyvin lyhyillä aikatauluilla.
Esimerkki 1: Yhden viikonlopun aikana toteuttamani koko purennan korotus ja kuntoutus (lisänä aiemmin samalla viikolla suuhun siirrettiin muovikorotus ja purentaa varmistettiin kaksi kertaa):
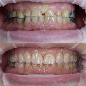
Esimerkki 2: Yhden viikonlopun aikana toteuttamani purennallinen korotus ja esteettinen muutos:
Esimerkki 2: Yhden viikonlopun aikana toteuttamani esteettinen muutos:
Esimerkki 3: Yhden viikon aikana useampana eri päivänä toteuttamani muutos:
Esimerkki 4: Yhden viikonlopun aikana toteuttamani koko purennan korotus ja kuntoutus (lisänä kahtena edellisenä viikkona muutama lyhyt käynti muovikorotusta ja purentaa varten)
Esimerkki 5: yhden viikonlopun aikana toteuttamani purennan kuntoutus ja korotus (lisänä kaksi käyntiä väliaikaisia ja purennan tarkastamista varten). Alaetuhampaat jätetty tekemättä niiden hyvän kunnon vuoksi.












