Arkisto / huhtikuu, 2014
Murtumassa olevan hampaan kruunutus (avoin ja kiinni oleva murtumalinja)
Amalgaami on verrattain hyvä paikkausmateriaali sen bakteereja hylkivien ominaisuuksien ja kestävyyden takia. Amalgaamilla paikattu hammas kuitenkin altistuu usein murtumille ja lohkeamille johtuen amalgaamin kiilavaikutuksesta hampaaseen. Amalgaami ei sidostu hampaaseen muuten kuin mekaanisesti.
Kyseisessä potilastapauksessa alempi poskihammas oli menetetty kovan purennan seurauksena tapahtuneen halkeamisen vuoksi. Alempi poskihammas korvataan implantilla (nyt implantti luutumisvaiheessa). Samalla implantin suunnittelun yhteydessä havaittiin yläposkihammas olevan osittain murtunut. Hammas oli elossa vastaten vitaliteettimittariin joten hammas suojattiin kruunulla
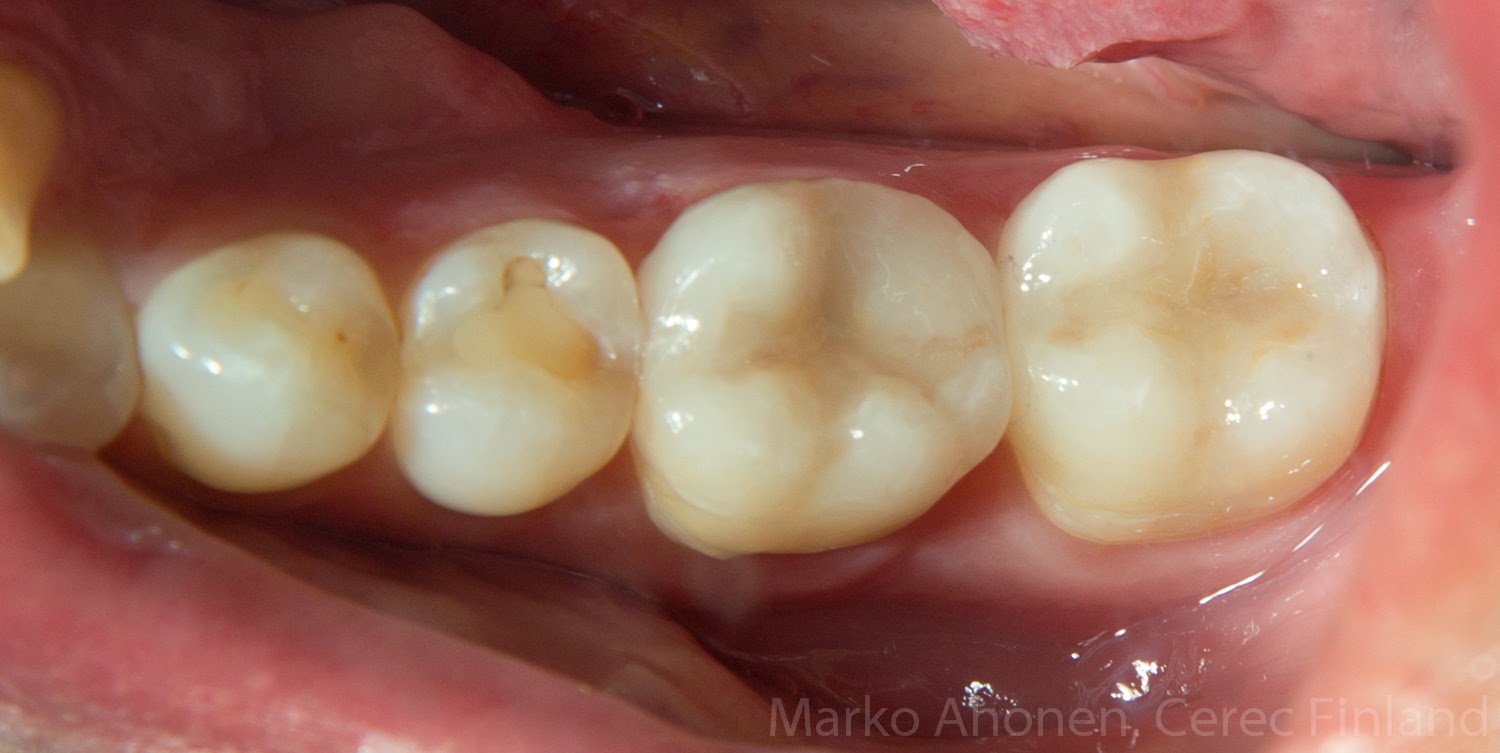
Murtumalinjat näkyvissä:
Hiotussa hampaassa murtumalinja näkyvissä myös vanhan amalgaamipaikan alla (tummentuma johtuu amalgaamista):
Kruunun suunnittelu hyvään purentatasoon tulevaa implanttia ajatellen:
















