Arkisto / Avainsana(t): ‘puuttuva hammas’

Implanttikruunu korvaamaan takahammasta d.36 ja vuosikontrolli

Vuosi sitten suunnittelin ja laitoin tämän Cerec hybridikruunun korvaamaan hampaan 36 puutosta.

Implantin vastahammas eli yläleuan d.26 oli heikossa kunnossa alkutilanteessa joten purentaso suunniteltiin tätä silmällä pitäen. Kun d.26 joudutaan poistamaan niin suunnitteilla implantti reg. 25.

IMG_7902 IMG_7993 IMG_7995 IMG_7997 IMG_7998 IMG_7999

Implanttikruunu asetettuna paikoilleen:

IMG_7891IMG_7894IMG_7895IMG_7899IMG_7886

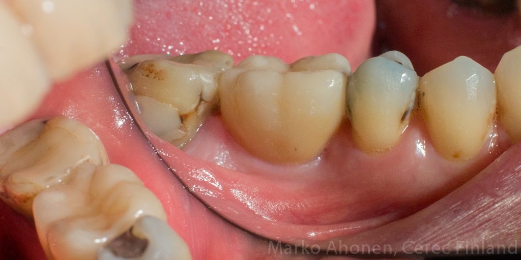
Vuosi implanttikruunun asettamisen jälkeen:

IMG_4005 IMG_4008 IMG_4012

Kaikki sujunut moitteettomasti eikä hammasvälit ole keränneet ruokaa.  Ien on muotoutunut hienosti kruunun ympärille eikä merkkejä tulehduksesta ole implantin ympärillä. (heikko vanha juurihoidettu takahammas joudutaan poistamaan lievän kroonisen tulehduksen vuoksi)

Keraaminen silta toteutettuna seuraavaksi päiväksi suuhun

Potilaan juurihoidettu takaposkihammas d.16 oli jouduttu laajan tulehduksen johdosta noin viikko sitten. Hammas oli alunperin suositeltu jo poistettavaksi kaksi vuotta sitten. Potilas ei tottunut eikä halunnut olla ilman hammasta joten lähdin suunnittelemaan hampaan korvaavaa hoitoa. Usein implantti on yksittäisen hampaan korvaamisessa paras vaihtoehto. Tässä tapauksessa implantti ei tullut kyseeseen luun vähyyden johdosta (ktso rtg-kuva lopussa) joka johtui pitkään jatkuneesta tulehduksesta. Lisänä potilas ei halunnut odottaa eikä lähteä laajoihin luusiirteisiin. Viereisten hampaiden laajat amalgaamipaikat puolsivat myös sillan tekemistä. Sillassa viereiset hampaat hiotaan tukipisteiksi sillalle jolloin vanhoat paikat saadaan korvattua keraamisilla kruunuilla.

Hoitona siis täysikeraaminen silta dd.15-17 korvaamaan d.16 puutosta (iäkäs potilas, täysi hammaskaari, keventyneet purentavoimat, lopulliset väliosat yli 20mm^2)  .

Täysdigitaalisen työskentelyn etuna on että potilaan alkuperäisten hampaiden muotoja voidaan käyttää soveltuvilta osin sillan teossa, jolloin silta ja purenta tuntuvat heti mahdollisimman luonnollisilta.

Alkuperäinen tilanne:

IMG_2968 IMG_2972

Hiotut viereiset pilarihampaat:

IMG_3085

Hionta jäljennettynä tietokoneelle:

IMG_2999

Suunnitelman mukaan jyrsitty silta käsitelemättömänä suoraan jyrsimestä:

IMG_3007IMG_3008

Aihion viimeistely/maalaus käsin ja puhdistusvälien varmentaminen:

IMG_3010

Valmis silta kristalloituna ja kiiltopoltettuna:

IMG_3074 IMG_3077 IMG_3079

 

Silta sidostettuna suuhun:

IMG_3242 IMG_3249 IMG_3252 IMG_3259

Sillan tärkeä ominaisuus on hyvä puhdistettavuus. Tällöin sillan tukihampaiden ympäristö on puhdistettava joka ilta hammasväliharjoilla.

IMG_3258IMG_3257

Röntgenkuvassa nähdään täysdigitaalisesti tehdyn sillan erinomainen istuvuus (ohut sementtisauma, spacer 80um step bur 12):

IMG_3268