Arkisto / syyskuu, 2013

Kuluneen purennan kuntoutus (bruksismi)

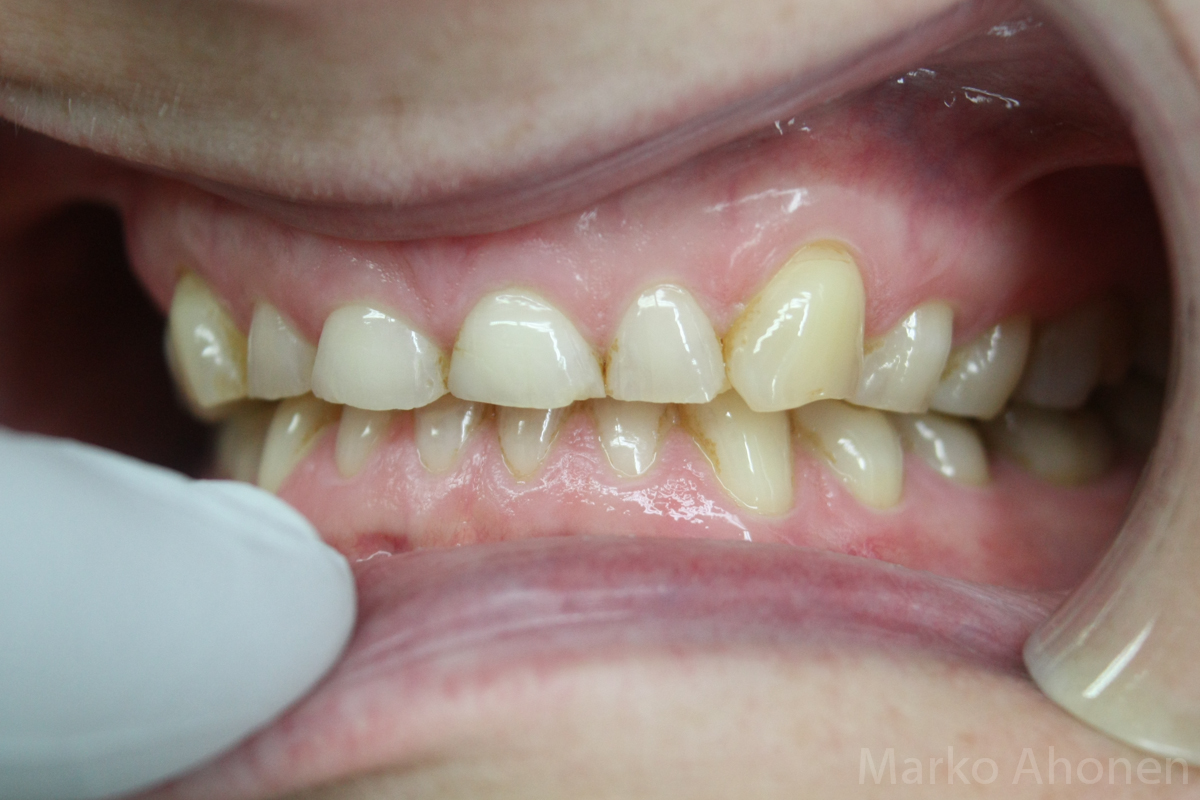
Alku- ja lopputilanne:

IMG_4008al

Potilaana on nainen, jonka hampaisto on kulunut pitkäaikaisen narskuttelun ja happorasituksen johdosta. Takahampaissa on isoja laajoja paikkoja.Potilaalla on subjektiivisia leukaniveloireita madaltuneesta purennasta johtuen. Pehmytkudosprofiili on madaltuneesta purentatasosta johtuen painunut kasaan vanhentaen ilmettä.

IMG_4001 IMG_4004 IMG_4002 IMG_4012 IMG_4013

Hoidon kulku
Hoitoksi päädyttiin tekemään keraamiset kuoret ylhäällä etummaisiin kuuteen hampaaseen ja alhaalla koko leukaan. Hoitoa varten tilattiin vahaukset korotetusta purennasta.

pk2

Vahausten mukaiset uusien hampaiden muodot siirrettiin vanhojen hampaiden päälle hampaita hiomatta:

pk1

Potilas totutteli uuteen purentaan parin viikon ajan ja lopullinen muutostyö muovista keraamisiksi kuoriksi toteutettiin yhden viikonlopun aikana.

Hoidon välivaiheita

Vasen sivusta hiottuna, suunniteltuna ja sovitettuna kristalloimaton e-max:

IMG_9322  IMG_9561IMG_9306

Oikea sivusta hiottuna, suunniteltuna ja sovitettuna kristalloimaton e-max:

IMG_4282 IMG_4280 IMG_9566 IMG_9569

Etualueen hiontaa:

IMG_4289 IMG_4291

 

Valmiit keraamiset rakenteet sementoituina:

IMG_0013 IMG_0016

IMG_0023  IMG_0411

IMG_0011IMG_0389