Arkisto / ‘purennan kuntoutus’ kategoria

Kuluneen purennan kuntoutus 3v seuranta

Kuluneisuuden ja esteettisten vaatimusten takia purenta kuntoutettiin kokonana keraamisilla kruunuilla, osakruunuilla ja onlaylla 3vuotta sitten. Alkumallien perusteella tehtiin vahaus joka siirreettiin suuhun

animamoitu-web-suoj

IMG_4696IMG_4697-2

 

Alkutilanne ja seurantakuvat yhden ja kolmen vuoden jälkeen viikonlopun muodonmuutoksesta:

IMG_8347-2 kolme

 

 

IMG_8351kolme

 

 

mole sivulta

 

 

 

3 ala

 

 

IMG_8336 3

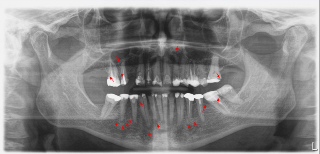
Röntgennäkymä ennen ja nyt kolme vuotta toimenpiteestä

kolme ptg

 

 

Purennan kuntoutus digitaalisesti: Paikkauskierre

 

Välillä ajaudutaan tilanteeseen jossa lähes koko hampaisto on paikattu muovilla. Erityisesti jos muovipaikkaus tehdään nopeasti purenta pääsee madaltumaan.

Kyseinen tapaus tuli toiselta hammaslääkäriltä jossa oltiin keskimäärin vuosittain paikattu 10 lohkeamaa ja purenta oli mennyt kokoajan huonompaan suuntaan. Kliinisessä ja radiologisessa tarkastelussa havaittiin useita reikiä, kolme tulehdusta juuren kärjessä ja lähes jokaisessa paikatussa hampaassa huonoja saumoja ja osittain irti olevia paikkoja.

Tulehdukset hoidettiin ensin pois juurihoitamalla

 

Kulunut purenta

25352118_10155395967869091_6307886555417082361_o

Röntgenkuvissa havaitaan runsaasti paikattu, saumavuotoja, kairesta, lohkeamia

25074909_10155395950074091_8783524327296156961_o

Kolme hammasta juurihoidettiin, jotta yleisterveyteen vaikuttava tulehdus saatiin pois

25182159_10155395953404091_1942680742209505258_o

Tulehduksien poiston jälkeen hampaistosta otettiin pintamallit joiden avulla suunnittelin uudet hampaat (virtuaalinen vahaus).

25182279_10155395963579091_8831150660824057013_o

Virtuaalinen vahaus 3d tulostettiin ja siirrettiin potilaan suuhun omien hampaiden päälle, jotta voitiin varmistaa miltä uudet hampaat näyttävät ja miten purenta toimii:

25352066_10155395970459091_1763104520903982243_o

Uutta purentaa kokeiltiin viikon ajan jonka jälkeen muoviset väliaikaiset hampaat muutettiin keraamisiksi laminaateiksi, kruunuiksi ja yhdeksi sillaksi muutaman päivän aikana:

Ohessa aina alku- ja loppukuva (kontrolli 3 kk jälkeen)

25310947_10155395973809091_7227758929224260752_o

25074905_10155395974149091_208211436792168735_o

25182415_10155395973969091_5585443381328058909_o

25299766_10155395976209091_3837200987600154853_o

25074956_10155395976414091_2852351008254543295_o

Röntgenkuvien näkymä ennen  ja jälkeen hoidon:

25311245_10155395985874091_8129600685629615683_o

Kyseisenlainen molempien leukojen muutos hintaluokassaan voi olla 10 000- 15 000 väliltä parhaalla keraamisella materiaalilla tehtynä.

 

IMG_0140aaff

Purennan kuntoutus viikonlopussa (6kk kontrolli)

Viime keväänä tekemäni purennan kuntoutus. Potilaan suurin ongelma oli jatkuvat kivut purentalihaksien ja leukanivelen alueella. Öiseen aikaan pidettävä purentakisko auttoi, mutta lihakset ja nivelet väsyivät päivän aikana johtuen voimakkaasti madaltuneesta ja kuluneesta purennasta. Purennan madaltuminen oli seurausta laajoista muovipaikoista jotka eivät ole kestäneet potilaan kovaa purentaa. Tällöin purenta keskittyy etualueelle joka kohtaa myös etuhampaiden voimakkaaseen kulumiseen ja lopulta kärkipurentaan.

Potilaan alkutilanteesta otettiin jäljennökset jonka avulla teetettiin vahaukset uusista hampaista. Vahatut muodot siirrettiin suuhun hoitoviikon maanantaina, purentaa tarkasteltiin viikon aikana kaksi kertaa jonka jälkeen viikonlopun aikana muoviset muotit poistettiin ja tehtiin kopiona keraamisiksi kruunuiksi.

 

IMG_83324both

IMG_8347both

IMG_8352both

IMG_8351

 

 

IMG_8336

IMG_8345

Profiilikuvat uudesta ilmeestä

IMG_4697-2  IMG_4695  IMG_4696

Purentakuvio nivelasemassa

IMG_4693

Kaikki kivut leukanivelestä ja lihaksista ovat pysyneet poissa hoidon jälkeen. Purentakiskoa ei ole vielä tehty koska hampaiden kiristely ja narskuttelu on jäänyt hoidon jälkeen olemattomaksi.

Purennan kuntoutus viikonlopussa

Potilaan purenta oli madaltunut takahampaiden laajojen muovipaikkojen ja kovan purennan johdosta. Takahampaiden laajat muovipaikat eivät pysty kannattelemaan purentaa joka aiheuttaa purennan siirtymisen etualueelle. Etualueen hampaat eivät kestä yksinään kovaa purentaa vaan lähtevät helposti kulumaan.

IMG_6932-2IMG_6937-2

Kyseisessä tapauksessa päädyttiin korottamaan purenta leukanivelelle suotuisampaan tilanteeseen samalla saaden esteettinen lopputulos. Potilasta häiritsi voimakkaan aukkoinen hammaskaari joka saatiin hiontateknisesti hampaiden asentoja ja pulleuksia säätämällä umpeen.  Alahampaat kulmahampaasta kulmahampaaseen säätettiin ennallaan. D.46 jouduttiin poistamaan hoidon aikana epäsuotuisan juurihoidon takia ja korvataan myöhemmin implantilla.

Hoito toteutettiin teknikon tekemillä vahauksilla jotka siirrettiin suuhun alkuviikosta ja koko muutostyö muuten tehtiin yhden viikonlopun aikana.

Materiaalina E-max Impulse V1 GC:n luster pastella maalattuna.

Alku ja lopputilanteet

IMG_1386-2molemmat   farar

 

Välivaiheita

IMG_1257 IMG_1407

IMG_1263IMG_1273IMG_1286-2

 

Lopullinen luonnollinen alahuulen hymylinjaa muotoileva aukoton hammaskaari

IMG_1375-2 IMG_1377 IMG_1376

IMG_2085-2 IMG_2084

Voimakkaasti kuluneen purennan kuntoutus

Takahampaiden poiston ja voimakkaan purennan seurauksena potilaan jäljelle jääneet etuhampaat olivat erittäin kuluneet.  Yläleuan hampaisiin päädyttiin tekemään kruununpidennysleikkaukset ja täyskeraamiset sillat. Alaleuan hampaat korotettiin yksittäisillä keraamisilla osakruunuilla/laminaateilla. Materiaalina käytettiin E-max A2 HT.

IMG_8106IMG_8107

 

Kuvat alku- ja lopputilanteesta

IMG_0570molemmat IMG_0571molemmat

muutos

Kontrollikuvat 4kk hoidosta:

IMG_3600 IMG_3598 IMG_3594-2IMG_3605

 

Välivaiheita

Kruununpidennysleikkauksen ja väliaikaisten hiontojen jälkeinen tilanne

IMG_0581 IMG_0579-2

Lopulliset hionnat ja keraaminen rakenne

IMG_1133IMG_0803-2