Purennan korjaus sivustalla

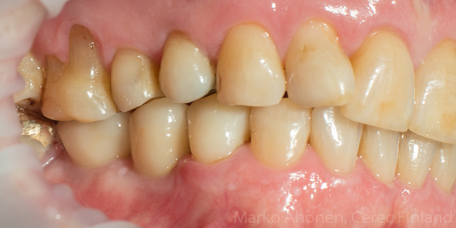
Alku ja lopputilanne:

IMG_6343molemmat

Hoitona purentatason korjaus, kaksi implanttia ja keraaminen kruunu

Potilaan vasemman alaleuan koko purenta oli ollut useita vuosikymmeniä sitten tehdyllä kultasillalla. Vanha silta oli hajonnut ja sivustan hampaat päädyttiin tekemään implanteilla ja keraamisella kruunulla. Kultasilta oli alunperin tehty huonoon purentaan tai silta oli taipunut ajan saatossa (yläleuan hampaat olivat voimakkaasti ylipuhjenneet). Potilas oli käyttänyt useita vuosia purentakiskoa, mutta hartioiden ja pään alueen kivut vaivasivat ajoittain.

Purentatasoa hiottiin huomattavasti ylöspäin, mutta ihan normaaliin speen-kaareen ei päästy (elossa olevaa vastahammasta ei voi loputtomasti hioa).

IMG_5311IMG_5323

Ien implanttien paranemisruuvien ympärillä vaati hieman muokkaamista

IMG_5305

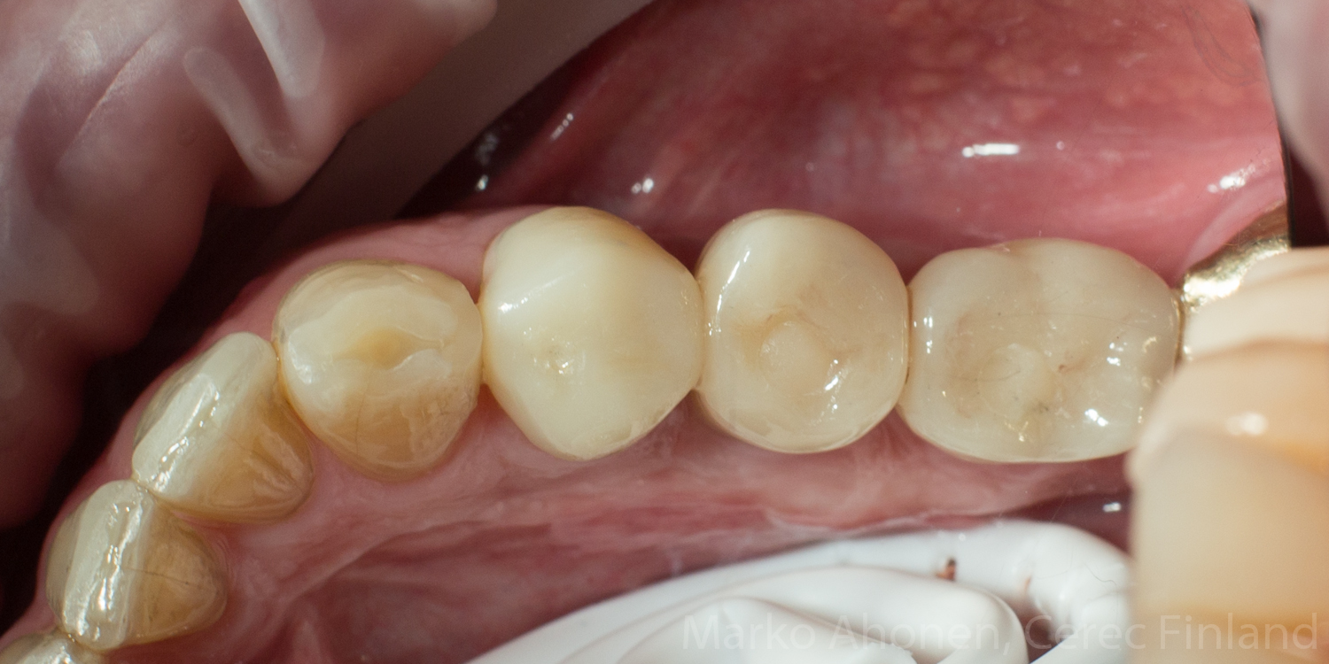
Implanttikruunut asennettiin yhdellä kerralla ja d.44 tehtiin erillisellä käynnillä (Celtra duo materiaalina)

Implanttien asennot, ienprofiili ja sisäänsovitussuunnat suunniteltiin taas ilman fyysisiä malleja eikä muutoksia suussa tarvinnut enää tehdä:

IMG_5542IMG_5541IMG_5802

 

Valmiit implantit ja kruunu suussa (kontrolli 1kk hoidosta):

IMG_6352 IMG_6343 IMG_6349 IMG_6358

Varsinaisesti hartioiden ja pään alueen kipuja ei tässä hoidettu mutta potilas kertoi että kaikki vaivat lähtivät kun purenta laitettiin kuntoon. Purentakisko jätettiin pois koska potilaasta purenta tuntui niin hyvältä ja hampaiden öiseen aikaan tapahtuva narskuttelu jäi pois kokonaan.

Lopullinen röntgenkuva implanteista ja kruunusta:

lopullinen

Avainsanat: , ,